Case Study
Real Smiles, Real Results
Case Study
Real Smiles, Real Results
A Functional, Aesthetic Smile at 75
Concern:
Long-term issues with her upper front teeth, including past trauma, gum disease, and recent swelling from a recurring infection.
Treatment:
We first stabilised her gum health, then removed the compromised front teeth and completed the restoration with a ceramic bridge from 13–23.
Minimally Invasive, Maximally Effective Smile Transformation
Concern:
The patient noticed an uneven smile line, excess gum display, and a small peg-shaped tooth that made her smile look unbalanced.
Treatment:
A digitally guided plan was carried out using Invisalign alignment, gentle enamel recontouring of the anterior teeth, and a custom ceramic crown on tooth 22 to enhance smile symmetry and create a natural, harmonious result.
Resolving Decay, Filling Failure and Tetracycline Staining
Concern:
Stained composite restoration, discolouration, and hidden decay were compromising both the appearance and health of the patient’s smile.
Treatment:
A carefully tailored plan combining professional whitening, a diagnostic wax-up, and minimally invasive ceramic veneers delivered a brighter, healthier, and more natural smile.
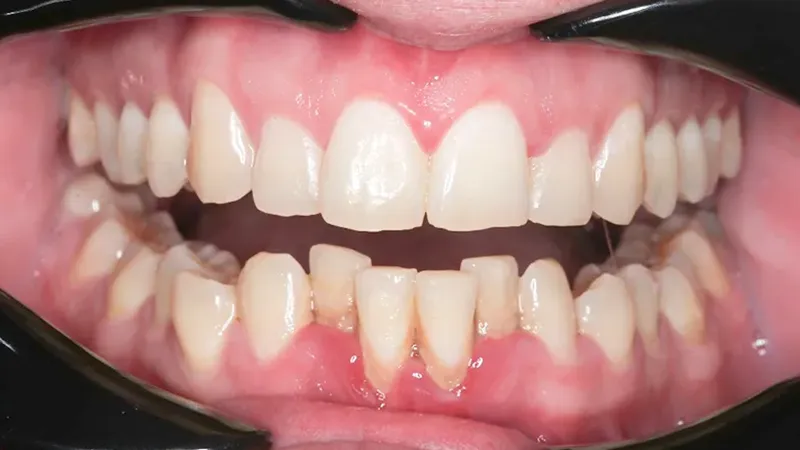
Invisalign for Rotated Lateral Incisors
Concern:
The main concerns at the start of treatment were the rotation of the upper lateral incisors and the patient’s desire for a broader, more aesthetic smile.
Treatment:
Over 5 months, Miss S completed clear aligner therapy that corrected the rotated lateral incisors and gently expanded the arch to enhance smile width. This resulted in a noticeably improved alignment and overall appearance.
Direct composite restorations
Concern:
Mrs S was concerned about her smile, noticing discolouration, wear, and differences in the size and shape of her front teeth.
Treatment:
The treatment plan included whitening, digital smile design, and conservative composite restorations to rebuild worn front teeth, correct asymmetry, and restore a natural, balanced appearance.
Full Upper Anterior Restoration
Concern:
Ms L presented with worn, discoloured resin restorations and uneven front teeth that affected the appearance and function of her smile.
Treatment:
A tailored ceramic restoration plan—including crowns, a cantilever bridge, and a veneer—was completed to restore strength, improve colour harmony, and enhance the overall symmetry of her smile.
Gum Disease Treatment
Concern:
Mr D presented with gum disease and crowding in the lower front teeth, where overlapping made daily cleaning more challenging.
Treatment:
His treatment plan began with gum therapy and hygiene stabilisation, after which he will proceed with clear aligner treatment to correct crowding, enhance cleaning access, and support long-term gum health.
Direct composite restorations
Concern:
Mrs S was concerned about her smile, noticing discolouration, wear, and differences in the size and shape of her front teeth.
Treatment:
The treatment plan included whitening, digital smile design, and conservative composite restorations to rebuild worn front teeth, correct asymmetry, and restore a natural, balanced appearance.
Invisalign for orthodontic relapse
Concern:
Ms F presented with an anterior open bite on the left side, visible spacing, and orthodontic relapse caused by not wearing her retainers.
Treatment:
A customised 4.5-month Invisalign plan using ClinCheck 3D visualisation precisely closed the gaps, corrected the bite, and restored alignment without the need for composite bonding.
Composite Resin Restorations
Concern:
Mr C presented with worn, decayed back teeth and failing, discolored amalgam fillings that compromised tooth structure and function.
Treatment:
After thorough cleaning and removal of decay and old fillings, tooth-colored composite resin restorations were placed to rebuild, reinforce, and preserve his molars, restoring both function and aesthetics.
Conservative Resin Veneer for a Peg Lateral Incisor
Concern:
A peg-shaped maxillary lateral incisor that creates a noticeable aesthetic imbalance in the smile due to being significantly smaller and tapered.
Treatment:
Orthodontic alignment to position adjacent teeth followed by a minimally invasive direct resin veneer sculpted onto the peg incisor to restore symmetry and natural appearance
Radiance restored to Ms. N’s trauma-darkened tooth
Concern:
Ms N had a trauma-darkened upper left canine that disrupted her smile aesthetics and confidence.
Treatment:
Root canal followed by internal “walking” bleaching to brighten the tooth, then minimally invasive resin bonding on adjacent lateral incisors for improved symmetry.
Cosmetic Dentistry
Concern:
Mr Y wanted to close the dark spaces (diastemas) between his upper front teeth and improve the size and shape for a more even, refreshed smile.
Treatment:
Direct resin (composite) veneers were bonded in a single afternoon—shaping and polishing to close gaps and harmonize tooth proportions, delivering his “dream smile” same-day.
Resin Infiltration
Concern:
Ms M, a 32-year-old woman, was bothered by white spot lesions on her upper front teeth—likely caused by fluorosis—which affected her smile and confidence.
Treatment:
A minimally invasive resin infiltration procedure: teeth were cleaned, isolated, etched, infused with low-viscosity resin, cured, polished—effectively masking the white spots and providing a more uniform appearance.
Invisalign Treatment to Close a Gap Between Front Teeth
Concern:
Mr S, a 26‑year‑old male, was unhappy with a noticeable gap between his two front teeth and wanted a discreet, non-invasive solution.
Treatment:
A tailored 3‑month Invisalign plan—starting with a consultation, 3D scans, resin attachments, and clear aligners worn 20–22 hours/day, changing sets every 1–2 weeks—successfully closed the gap. Final results secured with a nighttime retainer.
Invisalign
Concern:
Miss L was self-conscious about her misaligned teeth and avoided smiling.
Treatment:
14-week Invisalign plan—including scans, clear aligners worn ~20–22 hrs/day, routine check-ups, and subtle polish/whitening upon completion—for a beautifully straight, confident smile.

















