Case Study:
Minimally Invasive, Maximally Effective Smile Transformation
Comprehensive rehabilitation using Invisalign and a ceramic crown

Patient overview
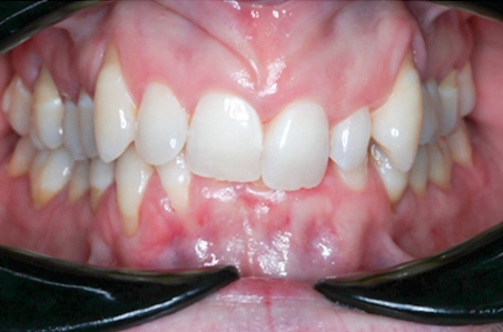
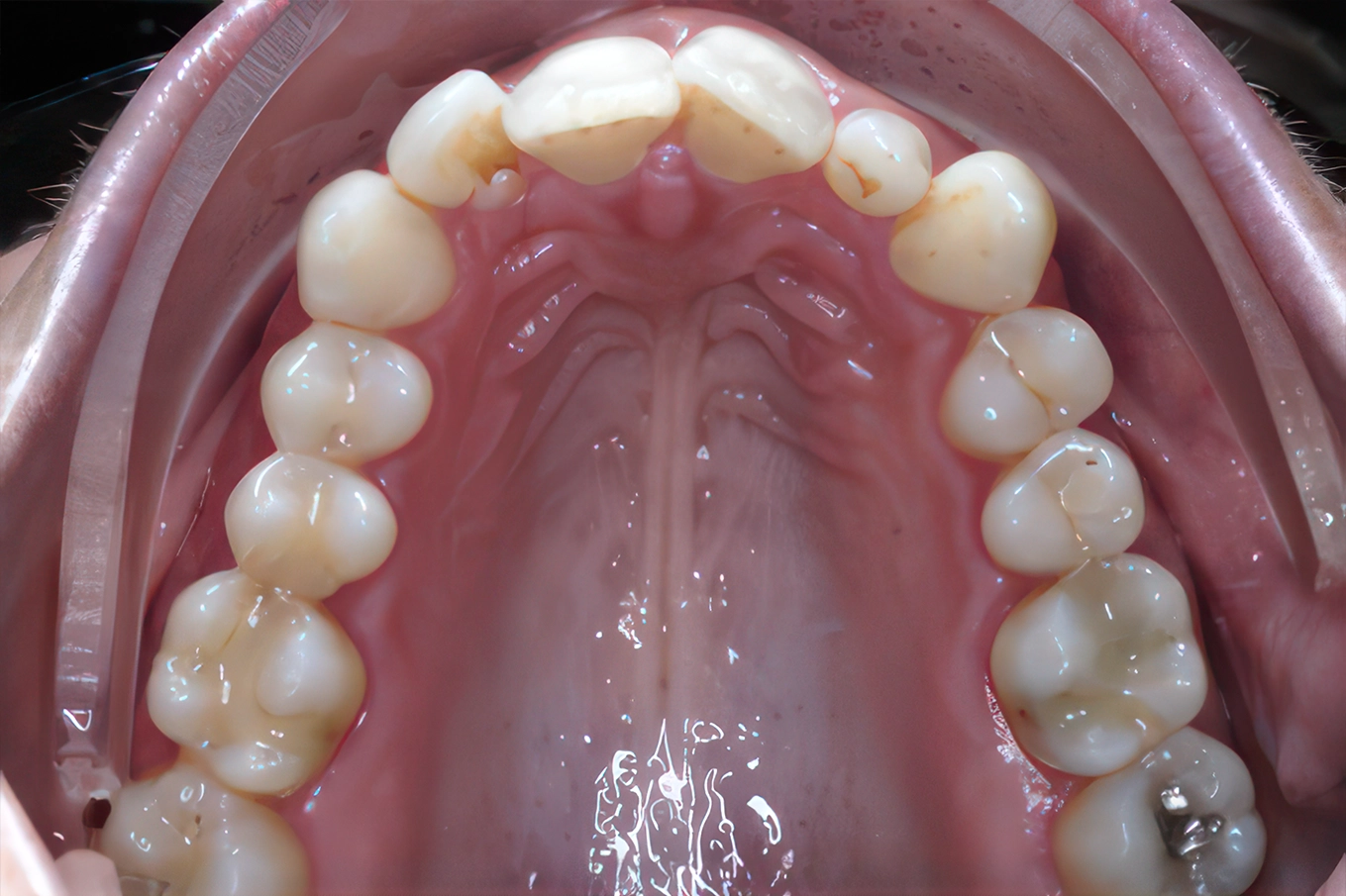
Ms K visited Simply Teeth with concerns about her smile aesthetics. She noticed that her smile line appeared uneven, her gums were more visible when smiling, and one of her front teeth, the upper left lateral incisor (tooth 22), looked smaller and peg-shaped.
Her goal was to refine her smile while preserving her natural teeth as much as possible. Dr Jen and the Simply Teeth team designed a conservative, digitally guided treatment plan that addressed both alignment and tooth proportion for a balanced, natural result.
Assessment
Clinical and photographic examinations confirmed the following:
- Mild to moderate dental misalignment
- A canted (tilted) smile line
- Excessive gingival display
- Peg-shaped upper left lateral incisor (tooth 22)
- Uneven edges contributing to smile asymmetry



Radiographs showed no signs of decay or structural problems, and the bone and gums were healthy. The only issue was an undersized lateral incisor.
The treatment objective was to enhance smile symmetry, refine tooth proportions, and reduce gingival visibility, while maintaining a conservative, minimally invasive approach.
Our treatment plan
1. Digital orthodontic planning with Invisalign
Digital analysis revealed the need for controlled tooth movements to level and align the smile line. Invisalign was used to gently correct the alignment and cant of the upper teeth, creating ideal spacing and symmetry for the planned restoration.
Each stage of treatment was digitally mapped for precision, ensuring accurate tooth positioning and optimal smile balance.
2. Refining tooth shape
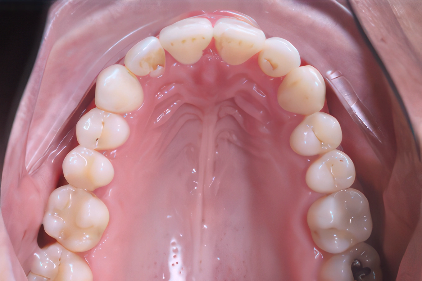
After completing Invisalign, gentle enamel recontouring was performed on the incisors to refine their shapes and achieve a more harmonious smile line. This conservative step enhanced the balance and overall aesthetics of the upper arch.


3. Ceramic restoration on tooth 22
The peg-shaped lateral incisor, tooth 22, was restored with a custom-shaded ceramic crown. Because Invisalign achieved ideal alignment and spacing, no tooth reduction was required, preserving the natural enamel.
The crown was digitally designed, milled, and shaded in-house using CAD/CAM technology in a single visit, ensuring precision, efficiency, and a seamless match with the surrounding teeth.


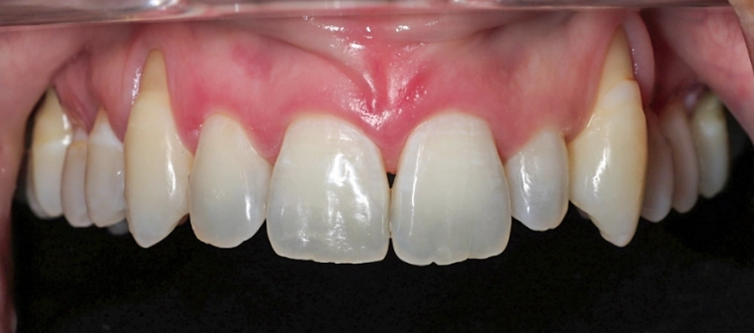
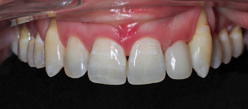
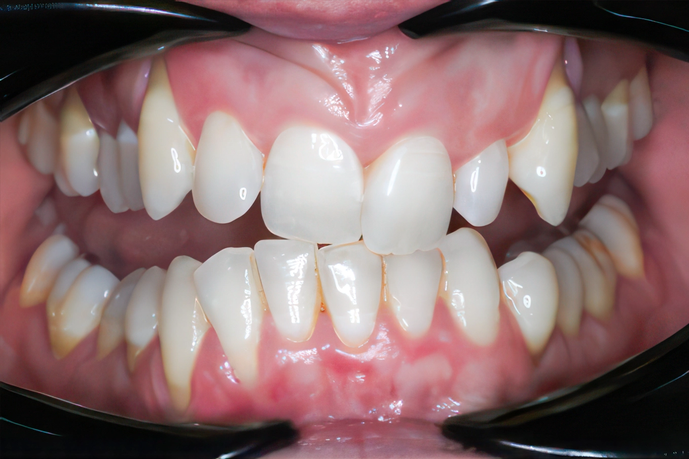
Treatment outcome


- The treatment achieved a naturally balanced smile with improved symmetry and proportion.
- The gingival display was reduced, resulting in a more even and harmonious appearance.
- The custom ceramic crown blended seamlessly with the surrounding teeth, enhancing the overall aesthetics.
- This minimally invasive approach preserved the patient’s natural enamel while providing a stable, long-lasting result.
Ms K expressed satisfaction with the comfortable process and the natural look of her restored smile.
Smile comparison: Before vs after






Our conservative approach
This case demonstrates the effectiveness of combining orthodontic alignment with minimally invasive restorative dentistry to achieve optimal aesthetic outcomes. By completing Invisalign treatment before any restorative work, unnecessary tooth reduction was avoided — preserving enamel integrity and supporting long-term stability.
The use of digital smile design and CAD/CAM technology enabled precise planning and efficient same-day fabrication, resulting in a seamless, natural-looking restoration that enhanced both function and aesthetics.
A harmonious, lasting smile
Through meticulous digital planning and conservative treatment principles, Ms K achieved a refined, natural-looking smile that complements her facial features. This case highlights how a comprehensively planned, minimally invasive approach can deliver aesthetic improvements while preserving enamel and supporting long-term oral health.
Dr Jennifer Chan, Registered Dentist
DEN0001858622
* Results vary from person to person. All dental treatments should be based on a comprehensive, face-to-face consultation and clinical assessment by a qualified dental practitioner. This case study is intended for educational purposes only and does not guarantee identical outcomes.
