
Case Study:
A Functional, Aesthetic Smile at 75
Ceramic bridge rehabilitation for the upper front teeth

Patient background
Mrs P, aged 75, came to us with long-term concerns about her upper front teeth. A previous dental injury had left fractures in her front teeth, which were later managed with root canal treatment and crowns. Over time, gum disease gradually affected the bone and tissues supporting these teeth.
More recently, Mrs P noticed recurrent swelling and an abscess around her central incisors, which prompted her to seek dental advice.

Clinical findings
During her full-mouth examination, we noted:
- Infection around the upper central incisors
- Reduced bone support due to gum disease
- Ageing crowns that no longer fitted well
- Tooth mobility
- A noticeable mismatch between her crowns and natural teeth
The central incisors had deteriorated to a point where they had a very limited long-term outlook. Maintaining them would likely lead to repeated infection and further gum problems.
Patient Priorities
Mrs P wanted to:
- Resolve the infection
- Improve comfort when eating and speaking
- Refresh the appearance of her front teeth in a way that was appropriate for her age
- Refresh the appearance of her front teeth in a way that was appropriate for her age
This patient preferred a conservative, predictable approach that minimised unnecessary or invasive procedures.
Diagnosis
- Chronic periodontitis in the upper front region
- Recurrent periapical infection involving the central incisors
- Endodontically treated teeth with limited remaining structure
- Central incisors assessed as having a poor long term prognosis
Treatment plan
Our focus was to create a healthier, more functional result while keeping the treatment suitable for her age and gum condition.
The primary objectives were to:
- Remove the source of infection
- Stabilise gum health to prevent further deterioration
- Replace the failing front teeth with a fixed option that supported everyday function and looked natural
- Eliminate active infection
- Stabilise the periodontal health
- Restore function and aesthetics with a fixed, durable prosthetic solution for everyday function and natural aesthetics
A fixed ceramic bridge from 13–23 was selected as the most appropriate option considering the patient’s age, periodontal status, desire for predictability, and need for minimal surgical intervention.
Treatment Phases
Phase 1: Periodontal and Infection Control
To establish a stable foundation for prosthetic rehabilitation, initial therapy included:
- 9Localised infection management around the central incisors
- 9Non-surgical periodontal therapy to reduce inflammation
- 9Oral hygiene instruction focusing on plaque control and interdental cleaning
- 9Behavioural and dietary discussions to reduce plaque retention and improve long-term periodontal stability
This phase successfully reduced inflammation and allowed soft tissues to stabilise.
Phase 2: Extraction of Non-Restorable Teeth
Teeth 11 and 21 were extracted due to persistent infection and insufficient structural integrity. Removal eliminated the source of infection and provided a cleaner environment for healing prior to definitive restoration.
Phase 3: Prosthetic Planning and Bridge Design (13–23)
After adequate healing:
- 9Tooth preparation of the lateral incisors and canines were completed
- 9Digital intraoral scans captured the soft-tissue contours and abutment tooth morphology
- 9Shade-matching was performed to achieve a natural, harmonious appearance
- 9Occlusal and phonetic assessments guided functional design parameters
The ceramic bridge was planned to optimise strength, periodontal compatibility, and aesthetic requirements.
Phase 4: Delivery of the Ceramic Bridge
At the fitting appointment, the bridge was evaluated for:
- 9Marginal precision on abutment teeth
- 9Proper support of lip profile and smile line
- 9Occlusal stability and articulation for her bite and speech
- 9Overall aesthetics under natural lighting
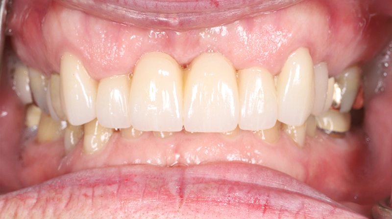
The bridge was cemented once all mechanical and aesthetic criteria were satisfied.
Outcome


Improved function and everyday comfort
The ceramic bridge provided a stable replacement for the missing teeth, helping redistribute bite forces and making it easier for Mrs P to eat and speak comfortably.
A smile that suits her
The bridge blended smoothly with her natural teeth and supported her smile line. The aim wasn’t to create something overly dramatic, but something that fit well with her age and features.
Improved Periodont Health
With the infection resolved and gum health stabilised, Mrs P found it easier to keep the area clean. Regular reviews and ongoing periodontal maintenance remain part of her long-term plan.

Before

After
Clinical Significance

Through structured periodontal therapy, targeted extractions, and carefully executed prosthetic rehabilitation, a 13–23 ceramic bridge restored stability, comfort, and natural aesthetics for a patient with complex, long-standing anterior dental challenges.
This case demonstrates the value of age-appropriate, biologically sensitive restorative planning. For elderly patients with compromised periodontal support, a ceramic bridge can offer:
- Predictable long-term function
- Excellent aesthetic outcomes
- Minimal surgical burden
- Reduced risk of recurrent infection
By prioritising periodontal stabilisation before reconstruction, the treatment supported both oral health and overall quality-of-life outcomes.

Dr Su Lin Lim
Registered Dentist
DEN0001784834
