Case Study:
Resolving Decay, Filling Failure and Tetracycline Staining
A staged approach using tooth whitening and ceramic restorations to achieve a fresh, natural result.


Patient’s concerns
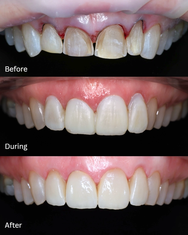
Mrs C, a self-confessed coffee lover, came to us seeking an aesthetic refresh for her smile. Years ago, composite restorations were placed on her front teeth (11 and 21) to improve their appearance. Over time, these restorations had discoloured and no longer blended naturally with the rest of her teeth, leaving her self-conscious whenever she smiled.
A closer examination revealed more than just surface concerns. Beneath the old fillings, decay had developed without Mrs C’s knowledge. We also identified tetracycline staining — a deep, intrinsic discolouration caused by antibiotic use during tooth development — which had left several of her teeth darker and resistant to standard whitening treatments.
- Discoloured and ageing composite restorations on the front teeth
- Tetracycline staining on natural teeth, affecting overall appearance
- Undetected decay beneath existing restorations
- Desire for a brighter, natural-looking, and longer-lasting result
Our smile makeover plan
Addressing both the cosmetic and health-related concerns, we recommended a tailored three-step treatment:
1. Professional teeth whitening
Before replacing her old composite restorations, we began with in-chair teeth whitening to brighten her natural teeth.
Whitening at this stage was important for two reasons:
- To set a lighter base shade so that her new veneers would blend harmoniously with the rest of her smile
- To lift as much of the tetracycline staining as possible
Note: Tetracycline stains can be very deep and don’t always respond fully to whitening. That’s why it’s crucial to set realistic expectations. In her case, whitening was a useful first step, but we knew that veneers would still be needed to achieve a uniform result.

2. Diagnostic wax-up (teeth 12–22)
With the whitening complete, we moved on to a diagnostic wax-up from teeth 12 to 22 (canine to canine).
Creating a wax model gave the patient a preview of what her future smile would look like and allowed us to:
- Finalise the ideal shape, size, and alignment of each tooth
- Ensure symmetry and a natural flow across her smile
- Plan precisely before beginning any irreversible steps
Collaboration and clarity are the focus at this stage, ensuring our patients make well-informed decisions about their treatment.

3. Ceramic veneers (teeth 12–22)
We carefully removed the existing composite restorations and cleaned out the decay underneath. Our priority was to preserve as much of Mrs C’s natural tooth structure as possible through a minimally invasive approach—a technique that supports long-term oral health and comfort.
We then restored her smile from teeth 12 to 22, extending beyond the front two teeth to create a more seamless, balanced, and natural-looking result across her entire smile line.

Carefully designed to match her existing teeth, facial features, and aesthetic goals, her new custom-crafted ceramic veneers offered several advantages:
- Stain resistance – ideal for patients who enjoy coffee, tea, or red wine
- Natural translucency and lifelike texture – they closely mimic real enamel for a truly authentic look
- Long-term strength and durability – built to last with proper care
- Fully personalised shape and colour – crafted to complement her facial features and enhance her overall look
Each veneer was bonded with precision, creating a smooth and harmonious result—bright, clean, and natural-looking from every angle.


Treatment outcome
The transformation was exactly what she was hoping for. Her new veneers provided a clean and natural-looking result, blending seamlessly with the rest of her teeth. The treatment addressed her aesthetic concerns, improving the overall appearance of her smile.
* Dental treatments, including veneers and teeth whitening, are highly individual. Because results, timelines, and suitability vary from person to person, the information provided here is general and should not replace a personal consultation. A thorough, in-person assessment with a qualified dental professional is essential to ensure a safe, effective, and customised treatment plan that meets your specific needs.




