Case Study:
Invisalign for Rotated Lateral Incisors
Focused alignment and arch expansion to achieve a broader, more aesthetic smile.

Case Study:
Invisalign for Rotated Lateral Incisors
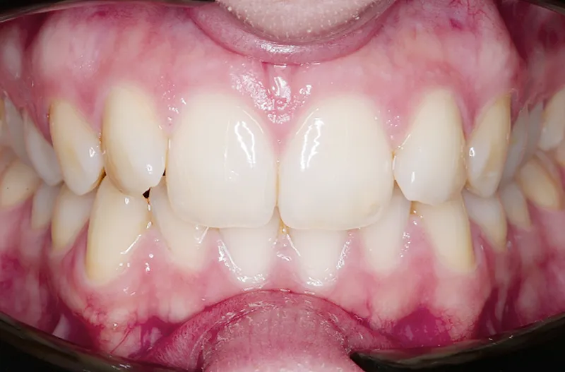
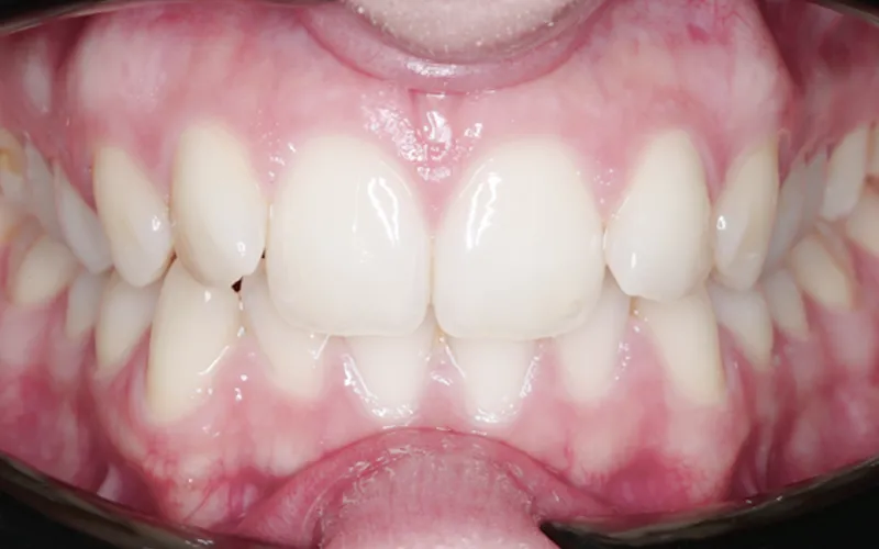
Patient presentation
Miss S, a young adult, visited Simply Teeth early in 2025 after noticing that her upper teeth had started to shift. She was particularly concerned that her smile looked narrow, and that her lateral incisors were rotated out of alignment.
On clinical examination, we observed:
- Rotated maxillary lateral incisors
- Mild crowding in both upper and lower arches
- Bite and spacing irregularities
- Uneven tooth heights, with some teeth appearing slightly longer or shorter than others
These findings reflected both functional and aesthetic concerns. Miss S expressed that her goal was to achieve a broader, more balanced, and naturally aesthetic smile.

Comprehensive examination
To gain a complete understanding of Miss S’s dental concerns, we carried out a detailed orthodontic assessment. This included:
- A clinical examination of her teeth, bite, and overall oral condition
- Intraoral photographs to document her baseline alignment
- Digital scans to create a precise 3D model of her teeth for Invisalign planning
- A detailed discussion of how clear aligner therapy could address her tooth rotation and improve smile width
This thorough evaluation formed the basis of a customised Invisalign treatment plan, ensuring that every stage was carefully designed to achieve predictable and aesthetic results.
Invisalign treatment plan
Miss S’s treatment was carefully planned using Invisalign’s ClinCheck® digital software, which provided a detailed 3D simulation of her tooth movements from start to finish. This precise visual plan ensured controlled and predictable progress toward her goals.

The main treatment objectives were to:
- Correct the rotation of the upper lateral incisors
- Relieve mild crowding in both arches
- Improve bite balance and spacing
- Expand and level the arch to create a broader, more even smile
Each set of aligners applied gentle, consistent pressure to guide her teeth into position. Miss S changed aligners every 1–2 weeks and attended regular review appointments to monitor progress, confirm aligner fit, and maintain oral health throughout treatment.
Duration of treatment
Miss S’s Invisalign treatment spanned 5 months, with steady and consistent progress observed at each stage. The treatment was successfully completed at the end of September.
As Invisalign relies on consistent wear for predictable results, Miss S followed the recommended 20–22 hours of daily aligner use. Her excellent compliance ensured that each planned tooth movement occurred as scheduled, allowing her to achieve the expected outcome within the projected timeframe.
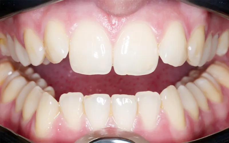
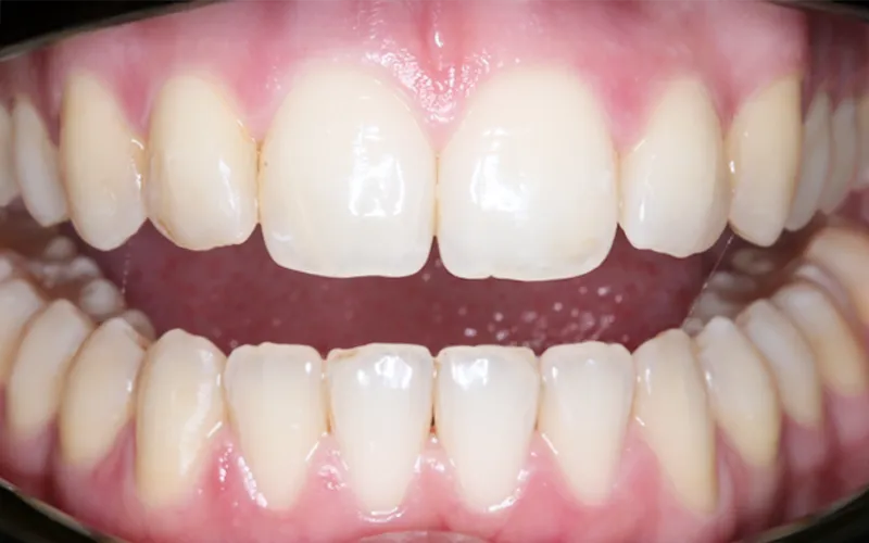
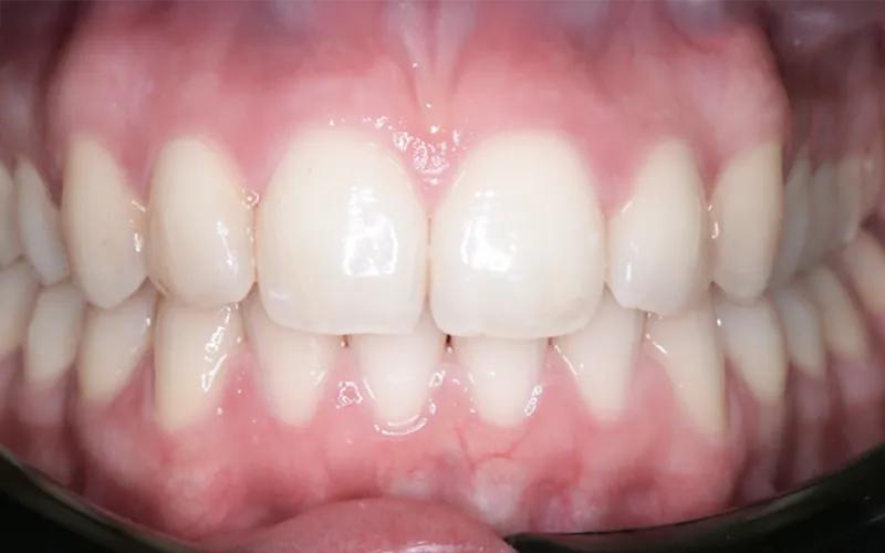
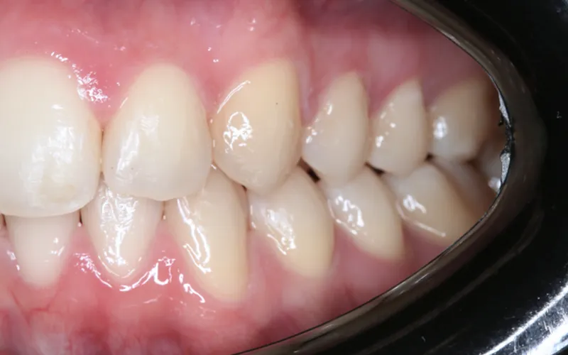
Final outcome
At the completion of treatment, Miss S was delighted with her outcome. The Invisalign therapy delivered noticeable improvements in her tooth alignment, bite balance, and overall oral health.
Key results included:
- Straighter upper and lower teeth
- Correction of overlapping and crowding, particularly the rotated lateral incisors
- A more balanced bite with improved spacing and function
- Levelled arches that created a broader, more harmonious smile
- Healthier teeth and gums were maintained throughout treatment with regular reviews and good oral care.
The before-and-after images clearly illustrate these improvements, showing the positive transformation in tooth position, arch form, and overall dental appearance.








Clinical insights
This case demonstrates how clear aligner therapy can achieve precise and predictable results, even for subtle orthodontic concerns.
- Rotated maxillary lateral incisors were effectively corrected through digitally guided movements
- Arch expansion contributed to a broader, more aesthetic smile without the need for traditional braces
- Careful digital planning allowed each stage of tooth movement to be accurately controlled
- Consistent aligner wear and regular review appointments were key factors in achieving the desired results within 5 months
A subtle but noticeable transformation
Invisalign offered Miss S a comfortable and discreet way to address her dental concerns without the need for bulky metal braces. Through a carefully planned digital treatment, her rotated lateral incisors were improved, the arch was gently expanded, and overall alignment was enhanced. The result is a broader, more balanced smile—achieved through a carefully managed approach designed to complement her natural features.


