Book Now

Case Study:

Restoring Worn Upper
Front Teeth

Aesthetic and functional enhancement with ceramic bridge, crowns, and veneer

Full Upper Anterior Restoration

Many people with older dental work experience staining, wear, or functional issues over time. This case study shows how these concerns can be managed with modern ceramic restorations.

Strength and aesthetics restored to the front teeth

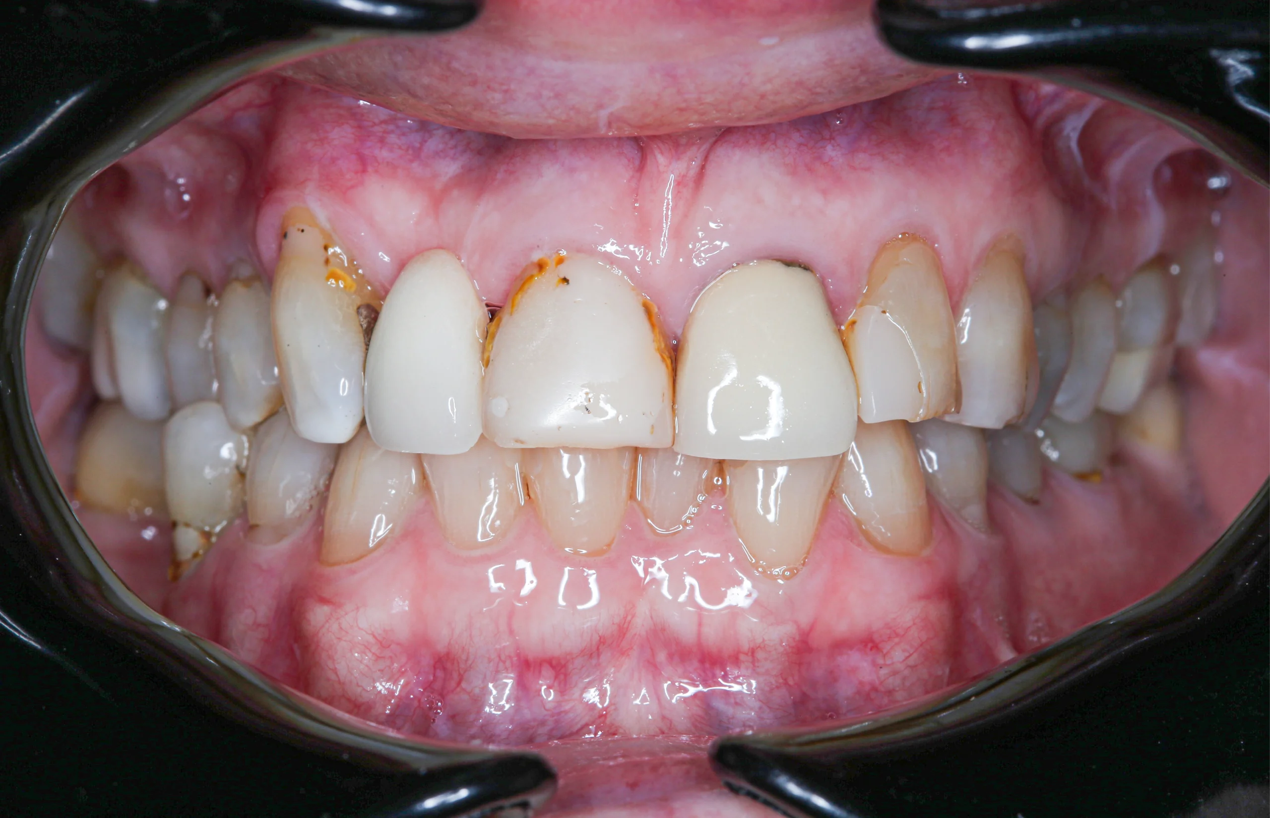
Ms L came to see us with long-standing worries about the look and function of her front teeth. She’d had dental work done before, but the resin fillings and restorations had worn down, leaving them stained and discoloured. Even though she looked after her teeth well at home, the older work gave her smile an uneven look that just wasn’t working for her anymore.

Dental Concerns

Chief concerns

  • Noticeable staining and discolouration of older resin restorations
  • Dissatisfaction with the shape and alignment of the upper front teeth
  • Looking for a solution that would be stronger and last longer
Dental Concerns

Clinical findings

  • Existing resin restorations were worn and discoloured on the front teeth
  • Differences in tooth shape, colour, and alignment across the upper front teeth
  • Functional issues linked to the older restorative work

Treatment approach

Following a detailed assessment, a tailored restorative plan was designed to improve both the appearance and function of the upper front teeth. Ceramic materials were chosen for this case as they are well known for their strength, durability, and ability to closely resemble natural teeth.

Treatment Approach Bridge
Treatment Approach Bridge

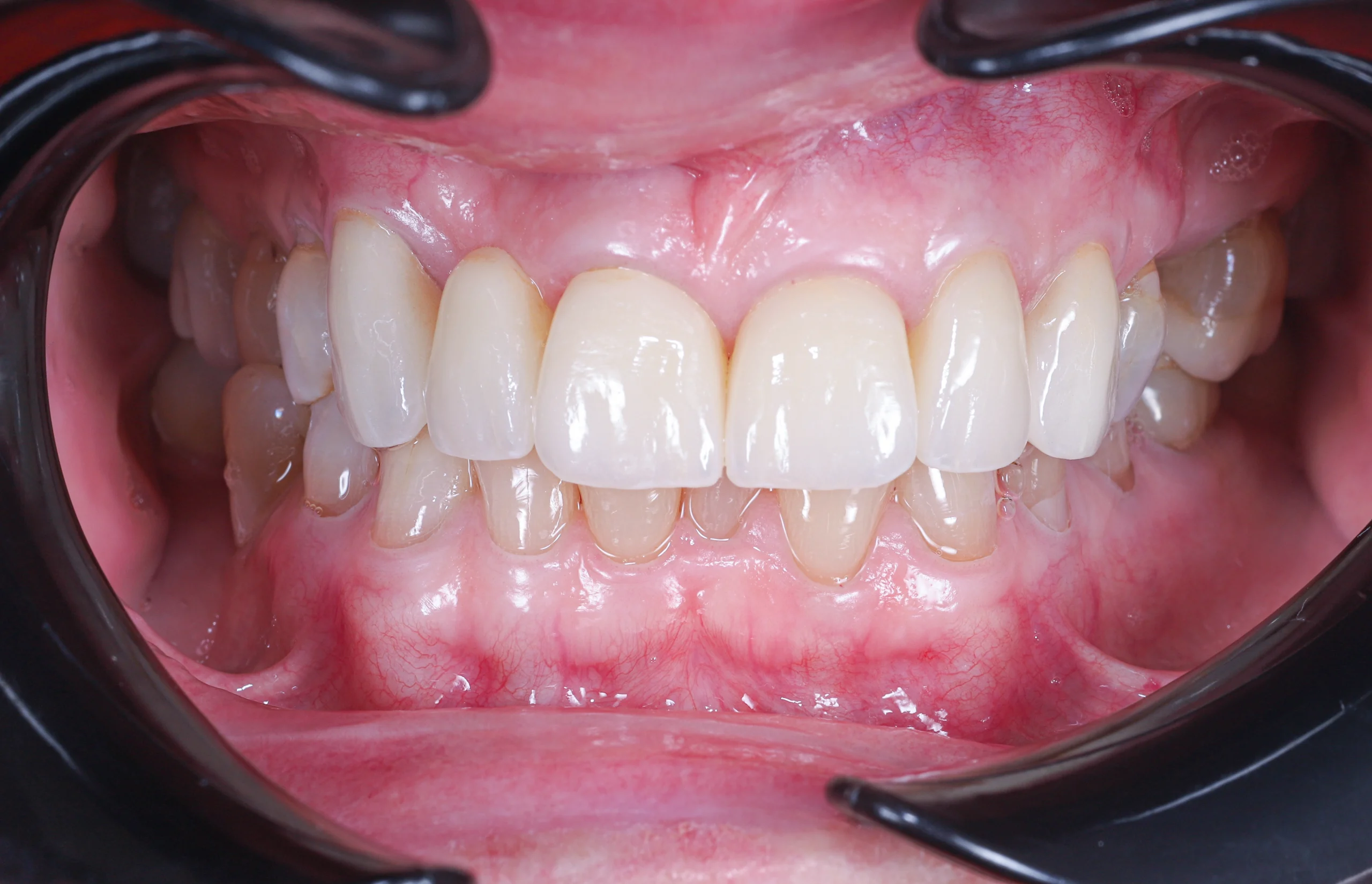
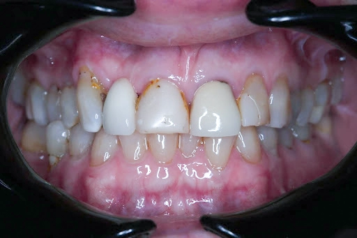
13–12 Cantilever bridge: A ceramic cantilever bridge was placed to replace the missing tooth 12. This type of bridge is supported on one side only—in this case by a crown on tooth 13—offering a conservative and effective way to restore the gap without preparing multiple neighbouring teeth.

Crowns (11, 21, 22): Full ceramic crowns were fitted on these front teeth to rebuild their natural form, improve colour consistency, and provide added strength where the older resin restorations had worn down.

Veneer (23): A ceramic veneer was placed on tooth 23 to refine the shape and alignment, helping it blend in seamlessly with the adjacent teeth and enhancing the overall smile line.

This combined approach allowed for a balanced result, with each restoration chosen to best suit the individual tooth and the overall function of the upper arch.

Materials used

High-strength ceramic materials were chosen for all restorations.Ceramics are commonly used in modern dentistry because they are durable, biocompatible, and can be closely matched to the natural shade and translucency of teeth.This allows the restorations to not only function effectively but also blend in with the surrounding teeth for a natural appearance.

Outcome: A natural look with lasting strength

A confident, natural smile was achieved through ceramic restorations to the upper front teeth. The treatment not only enhanced aesthetics but also provided strength and stability, supporting long-term function. This outcome demonstrates both clinical and psychosocial benefits, highlighting how modern ceramic options can effectively manage complex restorative needs.

Dr Jennifer Chan, Registered Dentist DEN0001858622

* Treatment options and outcomes vary for each individual. A comprehensive consultation with a qualified dental professional is required to determine the most appropriate solution for your specific needs.