Case Study:
Composite Resin Restorations
Stabilising back teeth with tooth-coloured fillings

Case Study:
Composite Resin Restorations
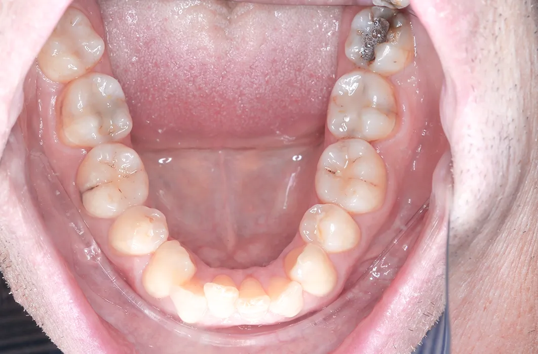
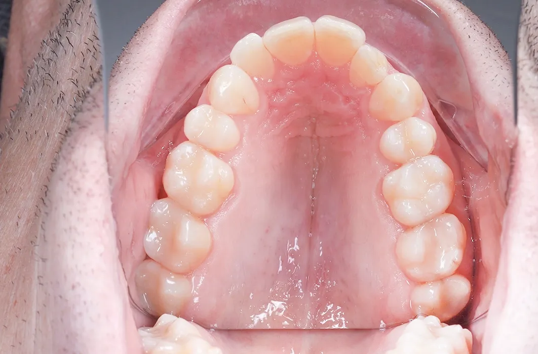
At Simply Teeth, our focus is on preserving and protecting your natural teeth. Dr Jennifer recently treated Mr C, a patient whose back teeth showed significant wear, decay, and older amalgam (silver) fillings that had started to darken and break down. These findings indicated a risk of further structural breakdown if left unmanaged.


Patient’s concerns
On his first visit, Mr C’s back teeth showed:
- Plaque buildup and staining across multiple areas.
- Visible tooth wear and cavities, especially on the molars.
- Severe decay on his upper left molar (tooth 27) and lower left molar (tooth 38).
- Old amalgam fillings that had discoloured and were no longer providing full protection.
The condition of the teeth made intervention necessary to maintain stability and function.
Treatment plan
Our goal was to save and restore Mr C’s teeth while protecting them from future problems. Because of the extent of decay and the number of teeth involved, the treatment was carried out over a series of appointments, ensuring each tooth received the right attention and care.
1. Comprehensive dental cleaning
Plaque and stains were removed so the teeth could be assessed clearly and properly prepared.
2. Removal of decay and old fillings
Affected areas and failing amalgams were cleaned out to prevent bacteria from spreading deeper.


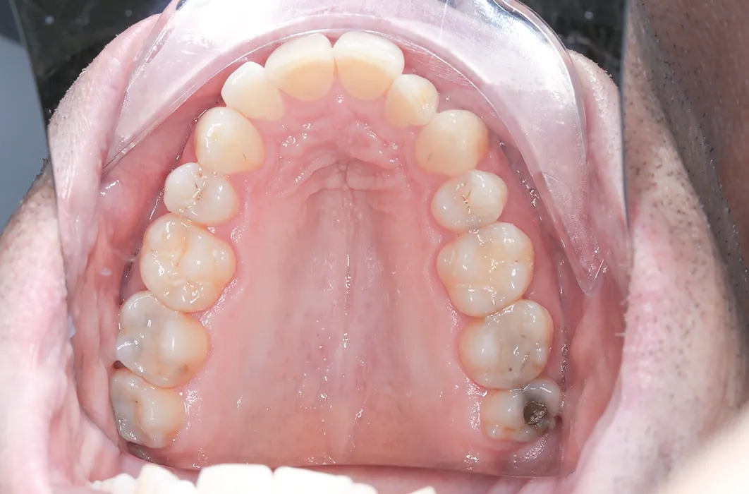
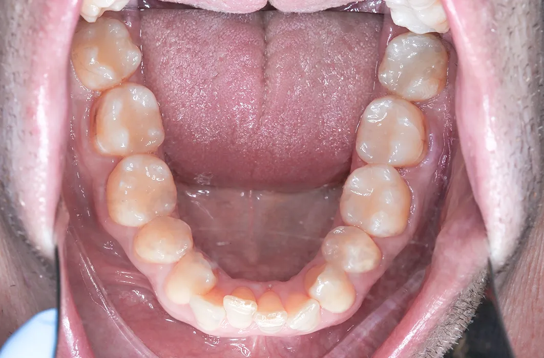
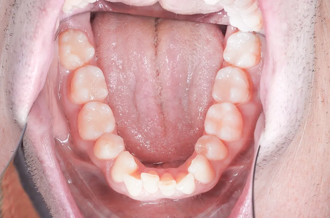
3. Placement of composite resin restorations (white fillings)
Almost all the previous fillings had decay underneath them. Composite resin was chosen because it:
- Bonds securely to the tooth, reinforcing weakened areas
- Is tooth-coloured, blending naturally for a seamless appearance
- Protects against further wear and decay
- More cost effective than a ceramic restoration
By rebuilding the shape and structure of each tooth with composite restorations, Mr C’s molars were reinforced and his bite was maintained.
The results
Mr C’s teeth went from being worn, darkened, and at risk of breakdown to looking healthier, stronger, and natural. The resin restorations not only gave his smile a more uniform appearance, but also reinforced surfaces to reduce the risk of future decay and damage.


Why this matters
This case highlights the importance of timely management of worn and decayed teeth. Each patient’s situation is unique, and treatment needs and outcomes will vary, but in this example composite resin fillings were used to:
- Remove areas of decay and replace older amalgam (metal) restorations
- Provide structural support to the affected teeth
- Create a tooth-coloured surface that blends with surrounding teeth
- Maintain the existing teeth in function
In Mr C’s case, composite resin restorations were placed to manage decay and replace older amalgam fillings. This approach provided stability for the affected teeth and maintained them in function.
Every mouth is different, and treatment options depend on individual clinical findings. A dental assessment is the first step in understanding the most suitable approach for each patient.
* Results and treatments may vary depending on your individual condition and needs. A consultation with a qualified dental professional is required to determine the best treatment plan for you.
